Inicio
Generalidades y Clasificación
Procesos Básicos
Localización de Lesiones
Micosis por Hongos Dermatofitos
Micosis por Hongos No Dermatofitos
Micosis Superficiales Oportunistas
Diagnóstico de Laboratorio
Galería de Imágenes
Autoevaluación

 

 

Galería de imágenes

 

 

Tinea Capitis

         

Lesión en cuero cabelludo

  

    

Examen directo: hifas hialinas, delgadas, segmentadas

  

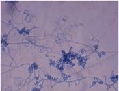
Cultivo de dermatofitos

  

 

Macroconidia de Microsporum canis

 

Esquema de ataque ectotrix y endotrix

 

ataque ectotrix

ataque endototrix

 

Hifa en espiral de Trichophyton mentagrophytes

  

Cultivo de Trichophyton rubrum en medio Lactrimel

 

Tinea Barbae

Tinea Barbae.

 

Tinea Corporis

Tinea Corporis

 

Tinea Cruris

Tinea cruris.

 

 

Tinea Pedis

Tinea pedis

 

Tinea unguium

Instrumentos utilizados: 1) láminas, 2) laminillas, 3) bisturí,   4) pinza, 5) corta cutícula, 6) pinza de cejas.

 

Toma de muestra en uña de pie con bisturí

 

Toma de muestra en uña de pie con bisturí

 

Reactivos y colorantes: 1)Tinta china, 2) Tinta Parker, 3) Hidróxido de sodio

 

Medios de cultivo utilizados en Micología: Lactrimel, Agar Glucosado Sabouraud

 

 Pitiriasis versicolor

 

Manchas hipocrómicas en Pitiriasis versicolor localizadas en cara, cuello, espalda

 

Examen directo de escamas: blastosporas con fragmentos de hifas

 

Tiña negra 

Tinea nigra palmaris: mancha hipercrómica en palma de la mano

 

Examen directo de escamas de la lesión

 

Piedra blanca

Pelo afectado con Trichosporon beigellii

 

Cultivo de Trichosporon beigellii

 

Piedra negra

  

                         Piedra negra                   Cultivo de Piedraza hortai

 

Ascas con sus ascosporas

  

Candidosis o candidiasis

 

     

                  Queilitis       Candidosis submamaria         Balanitis

   

 Cultivo de Candida albicans

 

    

Formación de tubo germinal 

 

      

 Formación de clamidosporas

 

Otomicosis

 

              

Examen con otoscopio del conducto auditivo externo

Membrana del tímpano afectada

 

Toma de muestra con hisopo

 

   

           Cultivo de Aspergillus Níger       Conidióforo de Aspergillus Níger 

 

Queratomicosis

 

Queratitis micótica

   

             Cultivo de Fusarium                     Conidias de Fusarium solani

 

 

Dra. Mayra González